AI-Powered Surgical Planning for Knee Osteotomy

This project develops AI-assisted tools to support cardiologists in accurately segmenting coronary arteries and detecting stenosis from X-ray angiography images, improving diagnostic consistency and efficiency in resource-limited settings and establishing foundations for diverse population deployment.
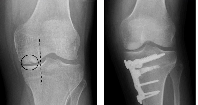
Knee osteotomy surgery requires precise realignment of the knee bones to correct deformities and restore proper joint function. Traditional planning using 2D X-rays and manual measurements is time-consuming, prone to error, and struggles to account for patient-specific anatomy, creating a gap in achieving consistently accurate surgical outcomes. There is a growing need for AI-powered tools that provide surgeons with precise, intuitive, and actionable virtual models to improve decision-making and surgical accuracy.
Our goal is to leverage AI to enhance Planning Logic’s surgical planning platform. Specifically, the team is developing AI-driven tools and models that generate accurate 3D virtual representations of knee anatomy, assist in pre-surgical planning, and provide predictive insights for better surgical outcomes.
The team is currently developing and testing AI models for surgical planning, designing intuitive interfaces, and deploying solutions that provide surgeons with actionable insights. By combining medical expertise with AI innovation, this collaboration seeks to improve surgical precision, reduce variability in outcomes, and advance the use of AI in orthopedic care.